稲毛の歯医者【千葉総合歯科稲毛 矯正歯科】インプラント・矯正全般・一般診療など

Medical診療メニュー

Dentures入れ歯

合わない入れ歯を使い続けるとトラブルを招いてしまいます

しっかりフィットして噛み合わせが整っている「入れ歯(義歯)」は快適に使用できます。

もし「よく噛めない」「合わない」「外れやすい」「うまく発音ができない」などの不具合がある場合は入れ歯が合っていないのです。合わない入れ歯を使い続けると、強く当たる口腔内の粘膜が炎症を起こしてしまいます。

部分入れ歯の場合は、バネ(クラスプ)をかけている歯に大きな負担がかかってしまい、その歯の寿命を縮めてしまいかねません。
また、たかが口の中の問題と軽視してしまいがちですが、しっかり噛むことで全身の健康を維持・向上することも可能です。

そうならないように、入れ歯のお悩みがありましたら、千葉市稲毛区小仲台「JR稲毛駅」東口より徒歩30秒の歯医者「千葉総合歯科稲毛 矯正歯科」にお早めにご相談ください。

合わない入れ歯が招くリスク

  • 入れ歯がずれて口腔内を傷つけたり感染症を起こしたりすることがあります
  • よく噛めず食べ物の咀嚼が不十分になると消化器官に負担をかけてしまいます
  • 発音しにくいために会話がうまくいかず意思の疎通が難しくなることがあります
  • 噛み合わせのバランスが崩れると、肩こりや頭痛などの全身の不調を招きます
  • 部分入れ歯の場合、支えの歯に大きな負担がかかり寿命を縮めてしまいます

しっかり噛めることでのメリット

  • 脳のさまざまな領域が活性化し記憶力向上、認知症の予防に有効です
  • 脳の神経活動が抑えられるため、ストレス解消につながります
  • 満腹中枢を刺激することで食べすぎを防ぎ肥満などの生活習慣病の予防につながります

入れ歯によるトラブルと代表的な原因

入れ歯が痛い原因

  • 入れ歯の床の形が適切でない
  • 人工歯の噛み合わせが合っていない

入れ歯で吐き気がする原因

  • 入れ歯の床が喉に当たっている
  • 入れ歯の床の素材に対する違和感

入れ歯がはずれてしまう原因

  • 入れ歯の床部分の形が適切ではない
  • 人工歯の噛み合わせが合っていない

入れ歯でしゃべりづらさを感じている原因

  • 歯の部分が長く噛み合わせが高くなっている
  • 入れ歯の床部分の厚みが厚く作られている

院内技工室で精密な入れ歯を作製します

入れ歯作製のために型を採るのは歯科医師ですが、その型から入れ歯をつくるのは歯科技工士です。

当院は院内技工室がありますので、歯科技工士が常駐しています。そのため入れ歯の人工歯の色合わせに立ち会うことができるので細かいご要望や指示が直接伝わります。もし入れ歯の作製を外部の歯科技工所に発注すると、かんたんな修理でもすぐにはできません。

当院では少しお待ちいただくだけで修理可能です。精密な入れ歯を比較的短期間でつくることができるのです。

床部分がレジン(歯科用プラスチック)でつくられている保険診療の入れ歯です。部分入れ歯の場合にはバネがつきます。

レジン床義歯

床部分がレジン(歯科用プラスチック)でつくられている保険診療の入れ歯です。部分入れ歯の場合にはバネがつきます。

メリット
保険診療なので費用を抑えられます
作製期間が短めです
加工・調整・修理が比較的簡単です
デメリット
硬い物が噛みにくいことがあります
厚みがあるので装着感があまりよくありません
耐久性は高くありません

金属床義歯(白金加金床)

床部分を白金加金でつくった自由診療の入れ歯です。

メリット
金属が伸びるので馴染みやすいです
食べ物の温度を感じやすいので味覚を楽しめます
抗菌作用があります
デメリット
金は他の金属と比べて高価です

金属床義歯(チタン床)

床部分をチタンでつくった自由診療の入れ歯です。

メリット
床部分を薄くつくれるので違和感を抑えられます
金属床の中でもっとも薄くて丈夫な構造です
汚れがつきにくく、高い耐久性があります
軽い金属なので上顎に入れても入れ歯が落ちてきづらいです
デメリット
自由診療のため比較的高額です

金属床義歯(コバルトクロム床)

床部分をコバルトクロムでつくった自由診療の入れ歯です。

メリット
強靭で破損・変形・たわみが少ないです
保険義歯(プラスチック)の約3分の1の薄さです
違和感が少なく舌の動きも自由で発音しやすいです
デメリット
金属アレルギーのリスクがあります
チタン床に比べてやや重いです

ノンクラスプデンチャー

弾力性のある樹脂素材でつくったバネのない部分入れ歯です。

メリット
バネがないので目立たず、見た目が自然です
まわりの歯に負担をかけません
壊れにくくフィット感に優れています
金属アレルギーの心配がありません
デメリット
歯の欠損状態によりつくれない場合があります
温度変化に弱い素材で、熱伝導性もよくありません
変色することがあります

アタッチメント義歯

入れ歯と支えとなる歯の両方に特殊な維持装置(アタッチメント)を装着して安定させる入れ歯です。

メリット
バネがないので見た目が自然です
入れ歯が安定するのでよく噛めます
デメリット
自由診療のため治療費が比較的高額です

コーヌスクローネデンチャー

残っている歯に装着した内冠と、入れ歯に取りつけた外冠で安定させる入れ歯です。茶筒とふたのような仕組みで、ぴったりはまります。

メリット
入れ歯が安定するのでよく噛めます
内冠を装着する歯に横向きの力がかかりにくいのでバネをかけるより負担が少なくて済みます
バネが見えないのでより自然な見た目です
デメリット
自由診療で治療費が比較的高額です
適応できるケースがかぎられる部分入れ歯です
固定源の歯は削る必要があります

自由診療という選択肢

自費の入れ歯と保険の入れ歯の大きな違いは費用です。そして、費用の違いは「製作工程」と「素材」の違いから発生します。

保険診療の入れ歯治療は比較的手軽に比較的安価に失った歯の機能をある程度回復できますが、見た目や噛み心地、装着感にはあまり重点を置いていません。

保険の入れ歯の場合、床や人工歯にはプラスチックしか使えません。毎日使うことですり減ってしまうので、1~2年でつくり替えたほうが良いとされています。

しかし「入れ歯とすぐに気づかれてしまうのが恥ずかしい」「好きな物を食べられるようによく噛める入れ歯が欲しい」「味覚を楽しみたいので、歯茎を覆う部分をできるだけ小さく、食べ物の温度も感じられるような入れ歯がいい」など患者さん一人ひとりでご要望やこだわりは異なります。

そのこだわりを実現するのが自由診療の入れ歯です。自由診療の入れ歯なら、素材や機能の選択範囲がより広がるため、あなたのライフスタイルに合う入れ歯が見つかるはずです。

入れ歯を長く快適にお使いいただくために、当院ではさまざまな入れ歯治療をおすすめします。

保険の入れ歯

メリット

  • 費用が低価格ですむ
  • 完成までの工程が少ないので、通院期間が短くてすむ
  • プラスチックなので修理しやすい

デメリット

  • プラスチック製に限られるので、装着時に違和感や不快感を覚えることがある
  • 熱伝導率に劣るので、食事の美味しさを感じにくい
  • 強度や耐久性に劣るので、毎日毎日使うことですり減りや変色がみられるようになり、破損する場合がある

自費の入れ歯

メリット

  • 薄く作製できる金属製のもの、クラスプのないシリコン製のものなど、素材が自由に選べる
  • 熱伝導性に優れ、食事がおいしく食べられる
  • 自然な見た目に仕上がる
  • 強度があり耐久性に優れているので、変形や破損、変色しにくい

デメリット

  • 保険が適用されないので費用が高額になる
  • 細部にこだわって丁寧につくるので、完成までの工程が多く、通院回数が多くなる
  • 修理が難しい場合がある

自費の入れ歯の治療の流れ

  • STEP 

    初診・カウンセリング
    現在の口腔内の状況の診査診断を行います。
    現在お使いの入れ歯についての不満などをお聞きし、患者さんご自身のご希望を確認させていただきます。
  • STEP 

    治療計画の立案
    口腔内の状況を踏まえて、どのような入れ歯が適切なのかをご説明し、治療計画をお伝えします。
  • STEP 

    型取り
    既製のトレーを使用して、歯と歯茎の型をとります。
  • STEP 

    患者さんに合ったトレーの作製
    1回目に取った型を使って、患者さんの口に合ったトレーをつくります。
  • STEP 

    精密な型取り
    患者さんの口に合ったトレーを使用して、口腔内の状況を精密に型取りします。この型を元にして正式な模型を作ります。この模型を使って入れ歯をつくっていきます。
  • STEP 

    噛み合わせの確認(1~数回)
    模型から作った土台を使用して噛み合わせの記録をとります。
    残っている歯が少ないなど、噛み合わせが不安定な患者さんの場合、何度か確認することがあります。
  • STEP 

    歯並びの仮合わせ
    噛み合わせをもとに、入れ歯の装着具合、噛み合わせ、歯並びを考慮しながら人工歯を並べます。歯並びも、噛み合わせと同じく何度か確認することがあります。
  • STEP 

    完成
    入れ歯が完成です。患者さんのお口に合わせて調整させていただきます。
    入れ歯の手入れ、保存方法、口腔ケアについてご説明します。
  • STEP 

    調整
    新しい入れ歯はすぐには馴染まないので、使いながら問題点を確認して噛み合わせや痛い部分を微調整し、しっかり噛めるようにします。
  • STEP 
    10

    定期検診
    入れ歯を長持ちさせ、快適に使い続けるためには定期検診を受けることが重要です。
    口腔内は時間とともに変化していきますので、それに合わせて入れ歯の調整を行っていきます。入れ歯の調子が良いときでも3ヶ月に1度の定期検診をお勧めいたします。

入れ歯を上手に使っていくためのポイント

入れ歯を取り付けるときは、歯でかみ込むのではなく、手ではめるようにしましょう。
歯を磨くときは、必ず入れ歯を外してから磨きましょう。

特にバネのかかっている歯は、むし歯や歯周病になりやすいため、特に念入りな歯磨きが大切です。

入れ歯の手入れが不十分だと、菌が繁殖して口臭が発生したり口内炎の原因になってしまいます。
他にも、入れ歯に色素や歯石が付着したり周囲の歯がむし歯になってしまい、さらに義歯を増やす必要に迫られることもあります。
口の中の健康を保つことは、快適な食事を楽しむことはもちろん、認知症予防にも繋がるので手入れはしっかりと行いましょう。

Q&A

Q入れ歯はいつ外すのがいいですか?
A食事を終えるたびに毎回外して、歯を磨くのと同時に義歯も洗ってください。
基本は就寝時に外して粘膜を休ませてあげてください。
ただし、患者さんによっては就寝中に義歯を入れるようにお勧めする場合があるので担当医に確認してみてください。
Q入れ歯を入れたらなんでも食べられるようになりますか?
A歯が全部あった時と同じように食事出来るためには時間がかかります。入れ歯を使った新しい噛み方に慣れるまで時間がかかります。
最初は柔らかい物から食べるようにしてください。
Q話しにくいのは入れ歯が合ってないからですか?
A義歯を入れると話しにくくなることがあります。10日ほど使うと慣れて改善されることがほとんどです。
口腔内が乾燥しやすいと義歯を入れることでお口の動きが難しくなることがあります。担当医に相談してみてください。

入れ歯のお手入れ方法

  • 入れ歯を落として破損したり、排水溝に流したりしないように、洗面器などを下に置いて水を流し、入れ歯専用のブラシで洗います。歯磨き粉などは入れ歯に傷をつける原因になるので使用しないでください。
  • やわらかい部分は、スポンジやガーゼなどで優しくこすります。
  • 寝る前に洗った場合は水に入れて保管しましょう。3日に1回は入れ歯洗浄剤で除菌しましょう。

*入れ歯は高熱により変形することがあります。絶対に熱湯(60℃以上)に浸したり、かけたりしないでください。

入れ歯のお手入れ方法

自費の入れ歯の治療の流れ

治療名称スマイルデンチャー
治療費用150,000円(税込165,000円)
治療期間3ヶ月
メンテナンス頻度2ヶ月に1回
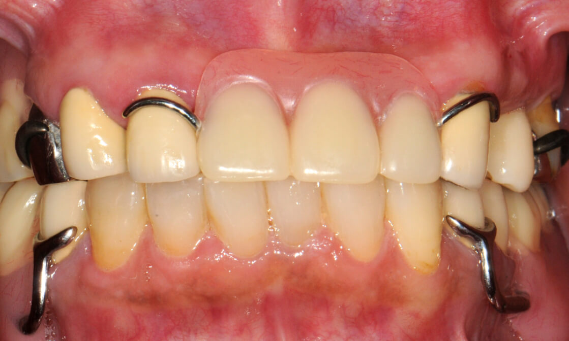
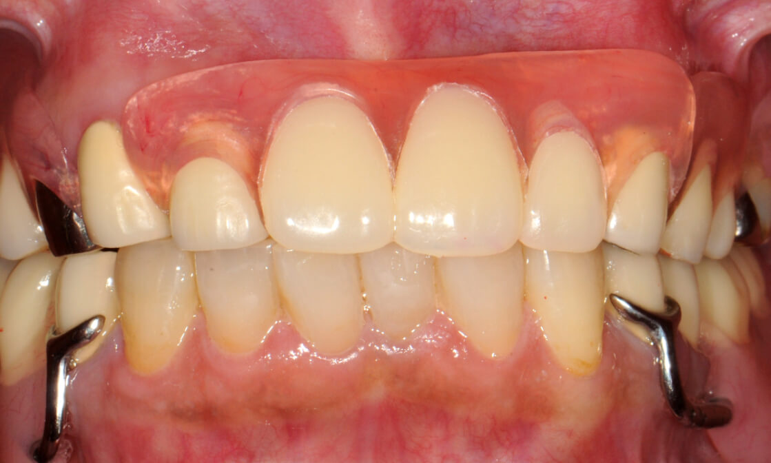
患者の症前歯にかかっている入れ歯の金属が気になる。
治療方法新義歯作成のため印象採得後、新義歯のセットを行った。
治療結果人前で入れ歯を気にすることが無くなりました。
治療を行う上での注意点型取りなどの処置が必要になりますので、嘔吐反射などある方などは少し苦慮されることが考えられます。
稲毛の歯医者【千葉総合歯科稲毛 矯正歯科】インプラント・矯正全般・一般診療など

初診の電話予約はこちら
043-445-8810
6F:043-255-8847 7F:043-445-7300

診療時間
09:00~13:00/
14:00~18:00/

▲:土曜、日曜は17時まで